السبت، 19 ربيع الأول 1444هـ الموافق 15 اكتوبر 2022
وكالة سبأ |حجة نيوز |
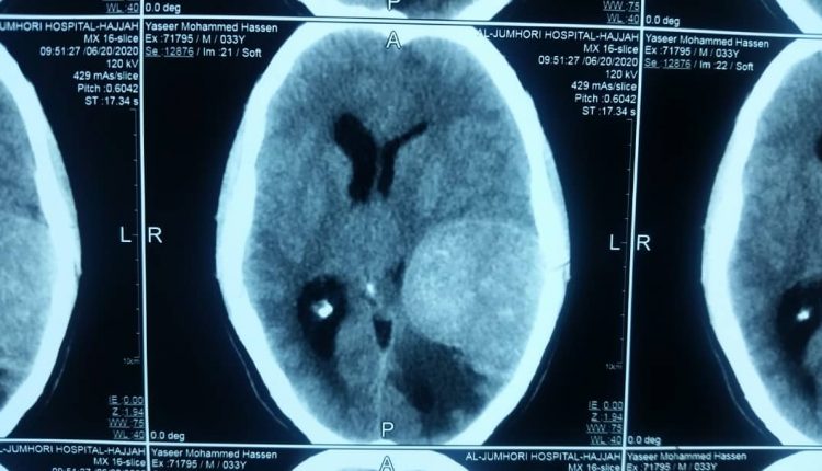
تمكن فريق طبي بهيئة المستشفى الجمهوري بحجة من إزالة ورم دماغي من مريض يبلغ من العمر 32 عاماً.
وأوضح رئيس الهيئة الدكتور إبراهيم الأشول أن هذه العملية تعد من العمليات النادرة التي تجريها الهيئة.. لافتا إلى أن الهيئة تمتلك كادرا طبيا لإجراء مختلف العمليات الجراحية.
فيما أشار رئيس الفريق الطبي – أخصائي جراحة المخ والأعصاب والعمود الفقري الدكتور علي جعفر إلى أن المريض كان يعاني من صداع شديد وضعف في اليد اليمنى.
وذكر أنه تم تشخيص حالة المريض وإجراء الفحوصات والأشعة المقطعية اللازمة لمعرفة حجم الورم ومكانه قبل إجراء العملية الجراحية التي تمت بنجاح.
